Úvod On-line Guide to Diagnostic Electron Microscopy 15. Soft tissues (connective tissue, muscles, peripheral nerves)
On-line Guide to Diagnostic Electron Microscopy

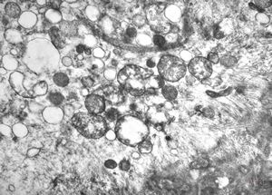
M,56y. | amyloidosis - tendon

M,56y. | amyloidosis - tendon

F,32y. | transversally sectioned skeletal muscle cell

mouse skeletal muscle cell - transversal section

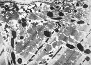
F,25y. | myopathy - atrophic and regenerating muscle cells

M,2y. | myopathy - regenerating muscle cell

F,25y. | myopathy - atrophic and regenerating muscle cells

F,25y. | myopathy - atrophic and regenerating muscle cells

F,25y. | myopathy - atrophic and regenerating muscle cells

F,25y. | myopathy - atrophic and regenerating muscle cells

F,25y. | myopathy - atrophic and regenerating muscle cells

F,56y. | nemaline myopathy v.s.

F,56y. | nemaline myopathy v.s.

F,56y. | nemaline myopathy v.s.

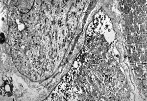
F,69y. | regenerating muscle cell

F,56y. | regenerating muscle cell

M,2m. | hypotonic syndrome - muscular atrophy

M,2m. | hypotonic syndrome - muscular atrophy

M,2m. | hypotonic syndrome - muscular atrophy

F,40y. | myopathy - mild steatosis

F,46y. | myopathy - steatosis

M,61y. | myopathy - steatosis

F,32y. | muscular dystrophy - steatosis

F,32y. | muscular dystrophy - steatosis

F,32y. | muscular dystrophy - regeneratiing muscle cell

F,66y. | myositis

F,66y. | myositis

M,15y. | rhabdomyoma - lip

M,15y. | rhabdomyoma - lip

M,15y. | rhabdomyoma - lip

M,15y. | rhabdomyoma - lip

F,76y. | rhabdomyoma - tongue

F,76y. | unspecified sarcoma (myocarcoma v.s.) - calf

F,76y. | unspecified sarcoma (myocarcoma v.s.) - calf

M,29y. | embryonal rhabdomyosyrcoma in testicular teratoma

M,29y. | embryonal rhabdomyosyrcoma in testicular teratoma

M,4m. | rhabdomyosarcoma in retented testis

M,4m. | rhabdomyosarcoma in retented testis

F,76y. | unspecified sarcoma (myocarcoma v.s.) - calf

F,49y. | rhabdomyosarcoma - pankreas

F,49y. | rhabdomyosarcoma - pankreas

F,49y. | rhabdomyosarcoma - pankreas

M,51y. | myosarcoma v.s. - scrotum

M,5y. | botryoid sarcoma - gall bladder

M,5y. | botryoid sarcoma - gall bladder

M,5y. | botryoid sarcoma - gall bladder

M,5y. | rhabdomyosarcoma vestibuli oris

M,5y. | rhabdomyosarcoma vestibuli oris

M,5y. | rhabdomyosarcoma vestibuli oris

F,3y. | embryonal rhabdomyosarcoma - submandibular region

M,31y. | rhabdomyoblasts - tumor? - regeneration? - lip

M,31y. | rhabdomyoblasts - tumor? - regeneration? - lip

M,31y. | rhabdomyoblasts - tumor? - regeneration? - lip

F,45y. | myo-fibrosarcoma - thigh

F,45y. | myo-fibrosarcoma - thigh

M,5y. | rhabdomyosarcoma vestibuli oris

F,17y. | neck - rhabdomyosarcoma

F,17y. | neck - rhabdomyosarcoma

F,17y. | neck - rhabdomyosarcoma

M,10y. | leiomyosarcoma

F,61y. | leiomyosarcoma - axilla

F,61y. | leiomyosarcoma - axilla

F,56y. | diffuse peritoneal leiomyomatosis

M,10y. | leiomyosarcoma

F,55y. | leiomyosarcoma - omentum

F,55y. | leiomyosarcoma - omentum

F,55y. | leiomyosarcoma - omentum

F,55y. | leiomyosarcoma - omentum

F,80y. | leiomyosarcoma - thigh

F,80y. | leiomyosarcoma - thigh

F,80y. | leiomyosarcoma - thigh

M,15y. | neurinoma n. optici

M,15y. | neurinoma n. optici

M,15y. | neurinoma n. optici

M,15y. | neurinoma n. optici
![F,23y. | n.suralis - hypertrophic demyelinating neuropathy [onion bulb] F,23y. | n.suralis - hypertrophic demyelinating neuropathy [onion bulb]](../img/OGDEM/015 Soft tissues/0076.jpg)
F,23y. | n.suralis - hypertrophic demyelinating neuropathy [onion bulb]
![F,23y. | n.suralis - hypertrophic demyelinating neuropathy [onion bulb] F,23y. | n.suralis - hypertrophic demyelinating neuropathy [onion bulb]](../img/OGDEM/015 Soft tissues/0077.jpg)
F,23y. | n.suralis - hypertrophic demyelinating neuropathy [onion bulb]

F,31y. | hypertrophic demyelinating neuropathy - n.suralis

F,31y. | hypertrophic demyelinating neuropathy - n.suralis

M,13y. | n. suralis - hypertrophic demyelinating neuropathy

F,31y. | hypertrophic demyelinating neuropathy - n.suralis

F,13y. | F,13y. | n.suralis … axonal neuropathy … Charcot-Marie-Tooth disease

M,3y. | globoid leukodystrophy of Krabbe - n.suralis

M,3y. | globoid leukodystrophy of Krabbe - n.suralis

M,3y. | globoid leukodystrophy of Krabbe - n.suralis

M,3y. | globoid leukodystrophy of Krabbe - n.suralis

M,3y. | globoid leukodystrophy of Krabbe - n.suralis

M,3y. | globoid leukodystrophy of Krabbe - n.suralis

M,3y. | globoid leukodystrophy of Krabbe - n.suralis

F,25y. | metachromatic leukodystrophy - n. suralis

F,8y. | metachromatic leukodystrophy - n. suralis

F,25y. | metachromatic leukodystrophy - n.suralis

F,25y. | metachromatic leukodystrophy - n.suralis

F,8y. | metachromatic leukodystrophy - n. suralis

F,25y. | metachromatic leukodystrophy - n. suralis

F,25y. | metachromatic leukodystrophy - n. suralis

F,12y. | malignant tumor of the orbita - liposarcoma?, neurofibrosarcoma?

F,12y. | malignant tumor of the orbita - liposarcoma?, neurofibrosarcoma?

F,12y. | malignant tumor of the orbita - liposarcoma?, neurofibrosarcoma?

F,12y. | malignant tumor of the orbita - liposarcoma?, neurofibrosarcoma?

F,36y. | chemodectoma - neck

F,36y. | chemodectoma - neck

F,4y. | retroperitoneal neuroblastoma

F,4y. | retroperitoneal neuroblastoma

F,12y. | malignant tumor of the orbita - liposarcoma?, neurofibrosarcoma?

F,12y. | malignant tumor of the orbita - liposarcoma?, neurofibrosarcoma?

M,58y. | neurofibroma faciei

M,58y. | neurofibroma faciei

M,58y. | neurofibroma faciei

M,40y. | granular cell tumor

M,40y. | granular cell tumor

M,40y. | granular cell tumor

M,40y. | granular cell tumor

M,40y. | granular cell tumor

M,40y. | granular cell tumor

M,40y. | granular cell tumor

F,30y. | granular cell tumor

F,81y. | liposarcoma

F,39y. | metastatic alveolar sarcoma of soft parts

F,39y. | metastatic alveolar sarcoma of soft parts

F,39y. | metastatic alveolar sarcoma of soft parts

F,39y. | metastatic alveolar sarcoma of soft parts

F,44y. | alveolar sarcoma of soft parts

F,52y. | epitheloid sarcoma - knee

M,5y. | retroperitoneal neuroblastoma - metastasis to neck

M,5y. | retroperitoneal neuroblastoma - metastasis to neck

M,26y. | adenocarcinoma - metastasis in omentum

M,26y. | adenocarcinoma - metastasis in omentum

M,12y. | Ewing sarcoma - thorax

M,12y. | Ewing sarcoma - thorax

M,1y. | neuroblastoma - submandibular region

M,1y. | neuroblastoma - submandibular region

M,1y. | neuroblastoma - submandibular region

M,1y. | neuroblastoma - submandibular region

M,1y. | neuroblastoma - retroperitoneum

M,1y. | neuroblastoma - retroperitoneum

M,3y. | neuroblastoma - adrenal

M,63y. | adrenal - neuroblastoma

M,3y. | neuroblastoma - adrenal

F,12y. | malignant schwannoma v.s. … neurofibrosarcoma ?

M,64y. | liposarcoma v.s.

M,64y. | liposarcoma v.s.
Download PDF with higher resolution
Contents
- Introduction
- 1. Cell and matrix pathology, unusual structures, artifacts
- 2. Infectious agents (viruses, bacteria, fungi, parasites)
- 3. Respiratory tract
- 4. Oral cavity, salivary glands
- 5. Gastrointestinal tract
- 6. Liver, gallbladder, pancreas
- 7. Cardiovascular system
- 8. Blood, bone marrow, spleen, lymphatic system
- 9. Urinary tract
- 10. Male reproductive system
- 11. Female reproductive system
- 12. Breast
- 13. Skin
- 14. Bone and joints
- 15. Soft tissues (connective tissue, muscles, peripheral nerves)
- 16. Endocrine system
- 17. Inborn metabolic disorders
- 18. Eye and ear
- 19. Central and peripheral nervous system
- 20. Atlas of Ultrastructural Neurocytology



