On-line Guide to Diagnostic Electron Microscopy

F,23y. | normal oral mucosal epithelium
F,23y. | normal oral mucosal epithelium
F,23y. | normal oral mucosal epithelium - hemidesmosomes and anchoring fibrils
F,23y. | normal oral mucosal epithelium - hemidesmosomes and anchoring fibrils
F,23y. | normal oral mucosal epithelium - hemidesmosomes and anchoring fibrils
F,23y. | normal oral mucosal epithelium - hemidesmosomes and anchoring fibrils
F,23y. | normal oral mucosal epithelium - desmosom
F,23y. | normal oral mucosal epithelium - desmosom
F,23y. | normal oral mucosal epithelium - desmosom
F,23y. | normal oral mucosal epithelium - desmosom
normal seromucinous salivary gland
normal seromucinous salivary gland
normal seromucinous salivary gland
normal seromucinous salivary gland
normal seromucinous salivary gland
normal seromucinous salivary gland
normal seromucinous salivary gland
normal seromucinous salivary gland
normal seromucinous salivary gland
normal seromucinous salivary gland
oral saprophytic bacterium
oral saprophytic bacterium
oral saprophytic bacterium
oral saprophytic bacterium
oral saprophytic bacterium
oral saprophytic bacterium
F,65y. | Epstein-Barr or cytomegaly virus - hairy leukoplakia - tongue
F,65y. | Epstein-Barr or cytomegaly virus - hairy leukoplakia - tongue
F,65y. | Epstein-Barr or cytomegaly virus - hairy leukoplakia - tongue
F,65y. | Epstein-Barr or cytomegaly virus - hairy leukoplakia - tongue
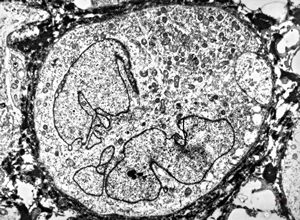
M,46y. | nuclear pseudoinclusion in plasmocyte - susp. amyloid … tonsillar tumor … Waldenström macroglobulinemia
M,46y. | nuclear pseudoinclusion in plasmocyte - susp. amyloid … tonsillar tumor … Waldenström macroglobulinemia
nuclear pseudoinclusion in plasmocyte
nuclear pseudoinclusion in plasmocyte
 M,7y. | epidermolysis bullosa (dystrophic type) - oral mucosa
M,7y. | epidermolysis bullosa (dystrophic type) - oral mucosa
 M,7y. | epidermolysis bullosa (dystrophic type) - oral mucosa
M,7y. | epidermolysis bullosa (dystrophic type) - oral mucosa
M,52y. | cylindroma - salivary gland
M,52y. | cylindroma - salivary gland
F,1y. | epulis congenitalis (granulomatosa)
F,1y. | epulis congenitalis (granulomatosa)
F,1y. | epulis congenitalis (granulomatosa)
F,1y. | epulis congenitalis (granulomatosa)
F,1y. | epulis congenitalis (granulomatosa)
F,1y. | epulis congenitalis (granulomatosa)
F,1y. | epulis congenitalis (granulomatosa)
F,1y. | epulis congenitalis (granulomatosa)
F,1y. | epulis congenitalis (granulomatosa)
F,1y. | epulis congenitalis (granulomatosa)
F,1y. | epulis congenitalis (granulomatosa)
F,1y. | epulis congenitalis (granulomatosa)
M,58y. | carcinoma gl. parotis
M,58y. | carcinoma gl. parotis
M,58y. | carcinoma gl. parotis
M,58y. | carcinoma gl. parotis
F,22y. | Pindborg tumor
F,22y. | Pindborg tumor
F,22y. | Pindborg tumor
F,22y. | Pindborg tumor
F,22y. | Pindborg tumor
F,22y. | Pindborg tumor
F,22y. | Pindborg tumor
F,22y. | Pindborg tumor
F,22y. | Pindborg tumor
F,22y. | Pindborg tumor
F,22y. | Pindborg tumor
F,22y. | Pindborg tumor
M,30y. | melanom - gl. parotis
M,30y. | melanom - gl. parotis
M,6m. | maxilla - melanotic progonoma (melanotic neuroectodermal tumor of infancy)
M,6m. | maxilla - melanotic progonoma (melanotic neuroectodermal tumor of infancy)
M,6m. | maxilla - melanotic progonoma (melanotic neuroectodermal tumor of infancy)
M,6m. | maxilla - melanotic progonoma (melanotic neuroectodermal tumor of infancy)
F,75y. | rhabdomyoma - tongue
F,75y. | rhabdomyoma - tongue
F,74y. | ossifying fibromyxoid tumor - submandibular gland
F,74y. | ossifying fibromyxoid tumor - submandibular gland
F,74y. | ossifying fibromyxoid tumor - submandibular gland
F,74y. | ossifying fibromyxoid tumor - submandibular gland
M,61y. | carcinoma - submandibular gland
M,61y. | carcinoma - submandibular gland
M,61y. | carcinoma - submandibular gland - activated nucleolus
M,61y. | carcinoma - submandibular gland - activated nucleolus
M,66y. | follicular cyst with hyaline Rushton bodies
M,66y. | follicular cyst with hyaline Rushton bodies
M,66y. | follicular cyst with hyaline Rushton bodies
M,66y. | follicular cyst with hyaline Rushton bodies
M,66y. | follicular cyst with hyaline Rushton bodies
M,66y. | follicular cyst with hyaline Rushton bodies
M,66y. | follicular cyst with hyaline Rushton bodies
M,66y. | follicular cyst with hyaline Rushton bodies
M,66y. | follicular cyst with hyaline Rushton bodies
M,66y. | follicular cyst with hyaline Rushton bodies
M,66y. | follicular cyst with hyaline Rushton bodies
M,66y. | follicular cyst with hyaline Rushton bodies
M,66y. | follicular cyst with hyaline Rushton bodies
M,66y. | follicular cyst with hyaline Rushton bodies
M,66y. | follicular cyst with hyaline Rushton bodies
M,66y. | follicular cyst with hyaline Rushton bodies
M,66y. | follicular cyst with hyaline Rushton bodies
M,66y. | follicular cyst with hyaline Rushton bodies
M,66y. | follicular cyst with hyaline Rushton bodies
M,66y. | follicular cyst with hyaline Rushton bodies
M,66y. | follicular cyst with hyaline Rushton bodies
M,66y. | follicular cyst with hyaline Rushton bodies
M,66y. | follicular cyst with hyaline Rushton bodies
M,66y. | follicular cyst with hyaline Rushton bodies
M,66y. | follicular cyst with hyaline Rushton bodies
M,66y. | follicular cyst with hyaline Rushton bodies

Download PDF with higher resolution