Úvod On-line Guide to Diagnostic Electron Microscopy 8. Blood, bone marrow, spleen, lymphatic system
On-line Guide to Diagnostic Electron Microscopy

normal blood smear - SEM

normal blood smear - SEM

normal blood smear - SEM

normal blood smear - SEM

bone marrow - normoblast

F,43y. | blood - hairy cell leukemia - normoblast

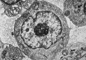
F,50y. | blood … lymphocyte and thrombocyte

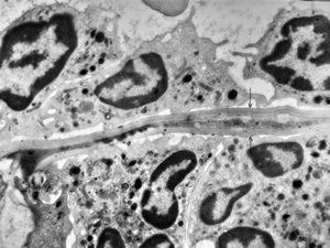
blood - neutrophilic granulocyte

F,61y. | blood - neutrophilic granulocyte

blood - neutrophilic granulocyte

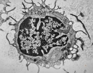
F,61y. | blood - eosinophilic granulocyte

blood … eosinophilic granulocyte

M,66y. | bone marrow - eosinophilic granulocyte

blood - trombocytes

thrombocyte

thrombocyte

fibrin

blood - fibrin

clotted blood - fibrin

F,43y. | blood - leukemia - bacteriaemia - phagocytosed microbes

phagocytosed microbes

M,2w. | bacteriaemia - phagocytosed microbes

M,2w. | bacteriaemia - phagocytosed microbes

M,2w. | bacteriaemia - phagocytosed microbes

phagocytosed microbe

M,43y. | blood - degraded Candida (bone marrow suppression)

M,18y. | blood - clin. susp. leukemia - degraded Candida

M,43y. | blood - degraded Candida (bone marrow suppression)

M,43y. | blood - degraded Candida (bone marrow suppression)

M,43y. | blood - degraded Candida (bone marrow suppression)

M,43y. | blood - degraded Candida (bone marrow suppression)

F,32y. | lymphadenopathy - clin. dysglobulinaemia

F,32y. | lymphadenopathy - clin. dysglobulinaemia

F,32y. | lymphadenopathy - clin. dysglobulinaemia

bone marrow - crystalloid inclusions Charcot-Leyden crystals formation

bone marrow - crystalloid inclusions Charcot-Leyden crystals formation

bone marrow - crystalloid inclusions Charcot-Leyden crystals formation

bone marrow - crystalloid inclusions Charcot-Leyden crystals formation

bone marrow - crystalloid inclusions Charcot-Leyden crystals formation

bone marrow - crystalloid inclusions Charcot-Leyden crystals formation v.s.

bone marrow - crystalloid inclusions Charcot-Leyden crystals formation

M,15y. | eosinophilic granuloma

M,15y. | eosinophilic granuloma - Langerhans cell
![M,15y. | eosinophilic granuloma Birbeck granule [body] M,15y. | eosinophilic granuloma Birbeck granule [body]](../img/OGDEM/008 Blood Marrow Spleen Lymph/0044.jpg)
M,15y. | eosinophilic granuloma Birbeck granule [body]

eosinophilic granuloma - Langerhans cell

eosinophilic granuloma - Birbeck bodies

F,1y. | eosinophilic granuloma - Charcot- Leyden crystals

F,1y. | eosinophilic granuloma - Charcot- Leyden crystals

M,15y. | eosinophilic granuloma - Charcot- Leyden crystals

M,15y. | eosinophilic granuloma - Charcot-Leyden crystal

F,1y. | eosinophilic granuloma - Charcot- Leyden crystal

F,21y. | bone marrow - mastocytosis

F,21y. | bone marrow - mastocytosis

M,66y. | bone marrow - tubuloreticular complex

M,24y. | bone marrow - haemolytic anemia(ropalocyte - picturesque reticulocyte)

M,24y. | bone marrow - haemolytic anemia

M,24y. | bone marrow - haemolytic anemia

M,24y. | bone marrow - haemolytic anemia

F,21y. | bone marrow - sideroblastic anemia

F,21y. | bone marrow - sideroblastic anemia

M,34y. | bone marrow - sideroblastic anemia

M,29y. | spleen - dyserythropoetic anemia - complex siderosomes

M,30y. | blood - dyserythropoetic anemia

M,30y. | blood - dyserythropoetic anemia

M,30y. | blood - dyserythropoetic anemia

M,30y. | blood - dyserythropoetic anemia

M, | blood - dyserythropoetic anemia

M,49y. | blood - dyserythropoetic anemia

M,49y. | blood - dyserythropoetic anemia

M,49y. | blood - dyserythropoetic anemia

M,49y. | blood - dyserythropoetic anemia

M,30y. | blood - dyserythropoetic anemia

M,30y. | blood - dyserythropoetic anemia

F,1y. | bone marrow … dyserythropoetic anemia v.s.

F,1y. | bone marrow … dyserythropoetic anemia v.s.

F,1y. | bone marrow … dyserythropoetic anemia v.s.

F,1y. | bone marrow … dyserythropoetic anemia v.s.(digital photo from the screen)

F,59y. | blood - hairy cell leukemia

F,59y. | blood - hairy cell leukemia

F,59y. | blood - hairy cell leukemia

M,81y. | blood - hairy cell leukemia

F,59y. | blood - hairy cell leukemia

M,81y. | blood - hairy cell leukemia

M,33y. | blood - hairy cell leukemia

M,33y. | blood - hairy cell leukemia

F,43y. | blood - hairy cell leukemia

M,38y. | blood - hairy cell leukemia

M,38y. | spleen - hairy cell leukemia

M,66y. | blood - hairy cell leukemia

F,28y. | blood … tricholeukocyte v.s.

F,47y. | spleen - hairy cell leukemia

M,73y. | spleen - hairy cell leukemia

M,73y. | bone marrow - hairy cell leukemia

M,73y. | bone marrow - hairy cell leukemia

53. F,43y. | spleen - hairy cell leukemia

M,33y. | blood - hairy cell leukemia- ribosome-lamella complexin tricholeukocyte

M,33y. | blood - hairy cell leukemia- ribosome-lamella complexin tricholeukocyte

M,33y. | blood - hairy cell leukemia- ribosome-lamella complexin tricholeukocyte

M,41y. | hairy cell leukemia - spleen - ribosome-lamella complex in tricholeukocyte

M,41y. | hairy cell leukemia - spleen - ribosome-lamella complex in tricholeukocyte

M,41y. | hairy cell leukemia - spleen - ribosome-lamella complex in tricholeukocyte

M,41y. | hairy cell leukemia - spleen - ribosome-lamella complex in tricholeukocyte

M,41y. | hairy cell leukemia - spleen - ribosome-lamella complex in tricholeukocyte

M,32y. | blood - eosinophilic leukemia

M,32y. | blood - eosinophilic leukemia

M,32y. | blood - eosinophilic leukemia

M,32y. | blood - eosinophilic leukemia

M,32y. | blood - eosinophilic leukemia

F,51y. | blood - chronic lymphatic leukemia … prolymphocyte

F,72y. | blood - lymphoplasmocellular leukemia

F,72y. | blood - lymphoplasmocellular leukemia

F,61y. | blood - lymphoplasmocellular leukemia

F,61y. | blood - lymphoplasmocellular leukemia

M,38y. | blood, myeloid leukemia

M,80y. | blood - myeloid leukemia

M,43y. | skin - susp. myelosis

M,43y. | skin - susp. myelosis … Auer bodies

M,43y. | Auer bodies - myeloid leukemia v.s.

M,43y. | blood - susp. myeloid leukemia -Auer bodies

F,16y. | bone marrow -malignant histiocytosis

F,16y. | bone marrow - malignant histiocytosis

F,16y. | bone marrow - malignant histiocytosis

M,2y. | lymph node - lymphogranuloma - R-S cell

M,71y. | blood - blastic elements

M,71y. | blood - blastic elements

M,71y. | blood - blastic elements

M,71y. | blood - blastic elements

M,61y. | spleen - hemangioma v.s. … erythrophagocytosis

M,61y. | spleen - hemangioma v.s. … erythrophagocytosis

M,61y. | spleen - hemangioma v.s. … erythrophagocytosis

M,18y. | blood - basophilic granulocyte

M,18y. | blood - tubular inclusions in lymphocytes

M,18y. | blood - tubular inclusions in lymphocytes

M,18y. | blood - tubular inclusions in lymphocytes

M,18y. | blood - tubular inclusions in lymphocytes

M,18y. | blood - tubular inclusions in lymphocytes

F,68y. | spleen - undefined myelinoid inclusions - clin. susp. leukemia

F,68y. | spleen - undefined myelinoid inclusions - clin. susp. leukemia

F,68y. | spleen - undefined myelinoid inclusions - clin. susp. leukemia

F,68y. | spleen - myelinoid inclusions - clin. susp. leukemia

F,68y. | spleen - myelinoid inclusions - clin. susp. leukemia

M,46y. | nuclear pseudoinclusion in plasmocyte - susp. amyloid … tonsillar tumor … Waldenström macroglobulinemia

M,62y. | bone marrow - plasmocytoma

M,64y. | bone marrow - plasmocytoma

bone marrow … plasmocytoma (parafin-embedded sample)

bone marrow … plasmocytoma (parafin-embedded sample)

bone marrow … plasmocytoma (parafin-embedded sample)

bone marrow … plasmocytoma (parafin-embedded sample)

F,52y. | bone marrow - inclusions in plasmocytes

F,52y. | bone marrow - inclusions in plasmocytes

M,62y. | bone marrow - plasmocytoma - inclusions

M,62y. | bone marrow - plasmocytoma - inclusions

M,47y. | tonsillar plasmocytoma - inclusions

M,47y. | tonsillar plasmocytoma - inclusions

M,47y. | plasmocytoma - nasopharynx

M,55y. | plasmocytoma

M,55y. | plasmocytoma

M,58y. | spleen - thesaurismosis of unknown origin … postmedicamentous?

M,58y. | spleen - thesaurismosis of unknown origin … postmedicamentous?

M,44y. | spleen - Gaucher disease

M,44y. | spleen - Gaucher disease

M, 1y. | gangliosidosis … bone marrow

F,58y. | lymph node - metastasis of malignant melanoma

F,58y. | lymph node - metastasis of malignant melanoma

M,39y. | lymph node - metastasis of adenocarcinoma

M,39y. | lymph node - metastasis of adenocarcinoma
Download PDF with higher resolution
Contents
- Introduction
- 1. Cell and matrix pathology, unusual structures, artifacts
- 2. Infectious agents (viruses, bacteria, fungi, parasites)
- 3. Respiratory tract
- 4. Oral cavity, salivary glands
- 5. Gastrointestinal tract
- 6. Liver, gallbladder, pancreas
- 7. Cardiovascular system
- 8. Blood, bone marrow, spleen, lymphatic system
- 9. Urinary tract
- 10. Male reproductive system
- 11. Female reproductive system
- 12. Breast
- 13. Skin
- 14. Bone and joints
- 15. Soft tissues (connective tissue, muscles, peripheral nerves)
- 16. Endocrine system
- 17. Inborn metabolic disorders
- 18. Eye and ear
- 19. Central and peripheral nervous system
- 20. Atlas of Ultrastructural Neurocytology



