Úvod On-line Guide to Diagnostic Electron Microscopy 5. Gastrointestinal tract
On-line Guide to Diagnostic Electron Microscopy

normal mucosa - stomach

normal mucosa - stomach

normal mucosa - stomach

normal mucosa - stomach

normal mucosa - stomach

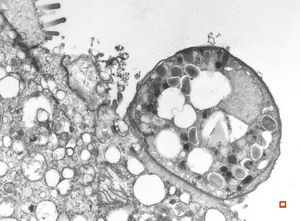
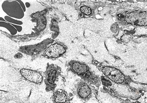
normal mucosa - stomach - parietal cell

normal mucosa - stomach - parietal cell

normal mucosa - stomach - parietal cell

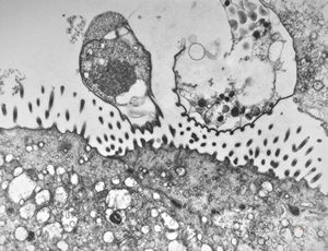
normal mucosa - duodenum - enterocytes and goblet cells

normal mucosa - duodenum - enterocytes and goblet cells

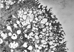
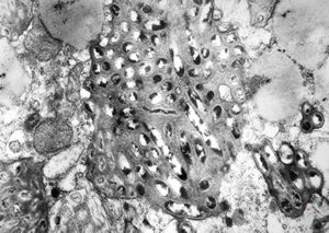
normal mucosa - jejunum - microvilli(anchored core rootlets)

normal mucosa - jejunum - microvilli

normal jejunal enterocyte

enterocyte - normal and celiacal microvilli

normal mucosa - jejunum - microvilli

normal mucosa - jejunum - microvilli

Paneth cell

Kulchitsky enteroendocrine cell

Kulchitsky enteroendocrine cell

plexus submucosus Meissneri

jejunal mucosa - contracted smooth muscle cells

contracted smooth muscle cells in an intestinal villus

jejunumblood capillarz in lamina propria

venule in lamina propria

Methylene-blue-stained epoxy-resin semithin section of intestinal unmyelinated vegetative nerve (left)and ganglion cells of plexus submucosus Meissneri (right). (Human, small intestine.)

chylomicrons … negative staining

herpetic oesophagitis

herpetic oesophagitis

herpetic oesophagitis

E. coli

Helicobacter pylori - stomach - Warthin-Stary silver impregnation

M,82y. | Helicobacter pylori - antrum ventriculi

M,82y. | Helicobacter pylori - stomach

M,82y. | Helicobacter pylori - stomach

F,41y. | Whipple disease - duodenum

F,41y. | Whipple disease - duodenum

F,52y. | spirochetosis … colon (HE) … blue-stained brush border

F,52y. | spirochetosis … colon Warthin-Stary silver impregnation

F,52y. | spirochetosis - colon

F,52y. | spirochetosis - colon

F,52y. | colon … spirochetosis … subepitheliai microbes

F,52y. | colon … spirochetosis … subepitheliai microbes

M,33y. | microsporidiosis (or cryptosporidiosis) - duodenum-posttransplantation immunodeficiency (HE and semithin section)

M,33y. | microsporidiosis (or cryptosporidiosis) - duodenum-posttransplantation immunodeficiency

M,33y. | microsporidiosis (or cryptosporidiosis) - duodenum-posttransplantation immunodeficiency

M,33y. | microsporidiosis (or cryptosporidiosis) - duodenum-posttransplantation immunodeficiency

M,33y. | microsporidiosis (or cryptosporidiosis) - duodenum-posttransplantation immunodeficiency

M,33y. | microsporidiosis (or cryptosporidiosis) - duodenum-posttransplantation immunodeficiency

M,33y. | microsporidiosis (or cryptosporidiosis) - duodenum-posttransplantation immunodeficiency

M,33y. | microsporidiosis (or cryptosporidiosis) - duodenum-posttransplantation immunodeficiency

M,46y. | Entamoeba histolytica

M,46y. | Entamoeba histolytica

Giardia (Lamblia) intestinalis

Giardia (Lamblia) intestinalis

Giardia (Lamblia) intestinalis

Giardia (Lamblia) intestinalis

Giardia (Lamblia) intestinalis

Giardia (Lamblia) intestinalis

Giardia (Lamblia) intestinalis

Giardia (Lamblia) intestinalis

Giardia (Lamblia) intestinalis

Giardia (Lamblia) intestinalis

jejunum - initial celiakia

celiakia

celiakia

celiakia

celiakia

celiakia

celiakia

celiakia

celiakia

celiakia

celiakia

celiakia

celiakia

celiakia

celiakia - invaded lymphocyte

celiakia

celiakia

jejunum - celiakia

jejunum - celiakia

jejunum - celiakia

celiakia- infiltration in lamina propria

celiakia- plasmocytes in lamina propria

celiakia- infiltration of propria

celiakia - plasmocytes in propria

celiakia- plasmocellular infiltrationof lamina propria

jejunum … celiakia … infiltration in lamina propria

jejunum … celiakia … Charcot-Leyden crystals v.s.

M,33y. | jejunum - celiakia

celiakia

celiakia- lymphocytic invasion

celiakia

celiakia

celiakia

celiakia

celiakia- lymphocytic invasion

celiakia

celiakia … reduced microvilli, lipid droplets

celiakia … reduced microvilli, lipid droplets

M,54y. | Whipple disease

Whipple disease

Whipple disease

Whipple disease

Whipple disease

Whipple disease

Whipple disease

Whipple disease

Whipple disease

Whipple disease

Whipple disease

Whipple disease

Whipple disease

Whipple disease

Whipple disease

Whipple disease

Whipple disease

F,58y. | Whipple disease

F,58y. | Whipple disease

Whipple disease

Whipple disease

Whipple disease

Whipple disease

Whipple disease

cured Whipple disease (HE)

cured Whipple disease (HE)

cured Whipple disease (semithin section)

cured Whipple disease (semithin section)

cured Whipple disease (semithin section)

Whipple disease - cured(semithin section)

Whipple diseaselipid ,alabsorption - arrows(semithin section)

Whipple disease

Whipple disease

Whipple disease

Whipple disease

Whipple disease

jejunum … unclassified vacuoles in enterocytes

jejunum … unclassified vacuoles in enterocytes

jejunum … unclassified vacuoles in enterocytes

M,35y. | duodenum … lipid malabsorption - susp. hypo-beta-lipoproteinemia

M,35y. | duodenum … lipid malabsorption - susp. hypo-beta-lipoproteinemia

M,35y. | duodenum … lipid malabsorption - susp. hypo-beta-lipoproteinemia

jejunum … lipid malabsorption

jejunum … lipid malabsorption

duodenum … lipid malabsorption

jejunum … lipid malabsorption

jejunum … lipid malabsorption

jejunum … lipid malabsorption

jejunum … lipid malabsorption

jejunum … lipid malabsorption

M,29y. | jejunum - lipid malabsorption

jejunum … lipid malabsorption

Whipple disease - lipid malabsorption

Whipple disease - lipid malabsorption

jejunum … lipid malabsorption

jejunum … lipid malabsorption

jejunum … lipid malabsorption

jejunum … lipid malabsorption

jejunum … lipid malabsorption

M,54y. | duodenum … Whipple disease, foamy histiocyte

lipid malabsorption

lipid malabsorption

jejunum … lipid malabsorption

jejunum … lipid malabsorption

jejunum … lipid malabsorption

F,8m. | lipid malabsorption - large lipid droplets in enterocytes … semithin section

lipid malabsorption - large lipid droplets in enterocytes … semithin section

lipid malabsorption - large lipid droplets in enterocytes and propria … HE

M,60y. | jejunum - amyloidosis

M,60y. | jejunum - amyloidosis

M,60y. | jejunum - amyloidosis(semithin section)

M,60y. | jejunum - amyloidosis(semithin section)

F,45y. | jejunum … amyloidosis

F,45y. | jejunum … amyloidosis

M,60y. | jejunum - amyloidosis

M,60y. | jejunum - amyloidosis

F,79y. | jejunum - amyloidosis

F,79y. | jejunum - amyloidosis

stomach- plasmocytoma

F,55y. | omentum - rhabdomyosarcoma

F,55y. | omentum - rhabdomyosarcoma

F,55y. | omentum - rhabdomyosarcoma

M,58y. | retroperitoneal liposarcoma

M,58y. | retroperitoneal liposarcoma

M,58y. | retroperitoneal liposarcoma

F,79y. | paraganglioma - ileum

F,79y. | paraganglioma - ileum

F,68y. | caecum - carcinoid

F,68y. | caecum - carcinoid

F,44y. | carcinoid - rectum

arteficially injured top of microvilli by the endoscope … semithin section
Download PDF with higher resolution
Contents
- Introduction
- 1. Cell and matrix pathology, unusual structures, artifacts
- 2. Infectious agents (viruses, bacteria, fungi, parasites)
- 3. Respiratory tract
- 4. Oral cavity, salivary glands
- 5. Gastrointestinal tract
- 6. Liver, gallbladder, pancreas
- 7. Cardiovascular system
- 8. Blood, bone marrow, spleen, lymphatic system
- 9. Urinary tract
- 10. Male reproductive system
- 11. Female reproductive system
- 12. Breast
- 13. Skin
- 14. Bone and joints
- 15. Soft tissues (connective tissue, muscles, peripheral nerves)
- 16. Endocrine system
- 17. Inborn metabolic disorders
- 18. Eye and ear
- 19. Central and peripheral nervous system
- 20. Atlas of Ultrastructural Neurocytology



