Úvod On-line Guide to Diagnostic Electron Microscopy 9. Urinary tract
On-line Guide to Diagnostic Electron Microscopy

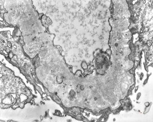
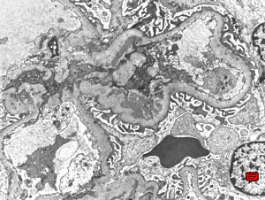
normal kidney - mouse(endothelium and podocytes)

normal kidney - mouse(endothelium and podocyte)

normal kidney - mouse(endothelium and podocyte)

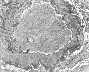
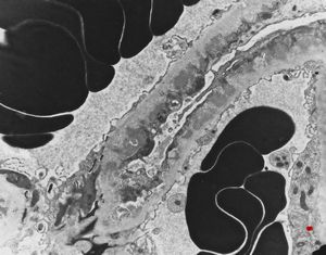
M,67y. | normal kidney

F,49y. | normal kidney

M,34y. | normal kidney

F,2y. | normal kidney

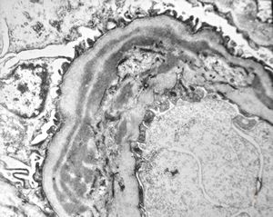
M,13y. | thin basement membrane syndrome

M,13y. | thin basement membrane syndrome

M,58y. | membranous glomerulopathy -early stage

M,58y. | membranous glomerulopathy -early stage

F,26y. | membranous glomerulopathy

F,26y. | membranous glomerulopathy

F,26y. | membranous glomerulopathy

F,49y. | membranous glomerulopathy

F,49y. | membranous glomerulopathy

F,49y. | membranous glomerulopathy

F,49y. | membranous glomerulopathy

M,39y. | membranous glomerulopathy

M,39y. | membranous glomerulonephritis

M,39y. | membranous glomerulopathy

F,74y. | membranous glomerulopathy

F,74y. | membranous glomerulopathy

F,74y. | membranous glomerulopathy

F,74y. | membranous glomerulopathy

F,74y. | membranous glomerulopathy

M,63y. | membranous glomerulopathy - early stage

M,60y. | membranous glomerulopathy - st.I

M,60y. | membranous glomerulopathy

M,59y. | membranous glomerulopathy

M,20y. | membranous glomerulopathy

M,69y. | membranous glomerulopathy

M,36y. | membranous glomerulopathy - late stage

M,68y. | membranous glomerulopathy - late stage

M,63y. | membranous glomerulopathy - digital photo from the screen

F,40y. | membranous glomerulopathy - lupus erythematodes (tubuloreticular organelle)

F,40y. | membranous glomerulopathy - lupus erythematodes

F,40y. | membranous glomerulopathy - lupus erythematodes

M,19y. | membranous glomerulopathy - lupus erythematodes st. IV

M,19y. | membranous glomerulopathy - lupus erythematodes st. IV

F,12y. | membranous glomerulopathy - lupus erythematodes st. V

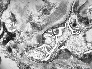
M,17y. | Alport syndrome - split and laminated basement membranes

F,14y. | Alport syndrome - split and laminated, thick/thin basement membranes

F,14y. | Alport syndrome - split and laminated, thick/thin basement membranes

M,6y. | Alport syndrome- digital photo from the screen

membranoproliferative glomerulonephritis

M,37y. | type I membranoproliferative glomerulonephritis (mesangiocapillary)

M,37y. | type I membranoproliferative glomerulonephritis (mesangiocapillary)

M,37y. | type I membranoproliferative glomerulonephritis (mesangiocapillary)

M,37y. | type I membranoproliferative glomerulonephritis (mesangiocapillary)

F,18y. | type I membranoproliferative glomerulonephritis

type I membranoproliferative glomerulonephritis

type I membranoproliferative glomerulonephritis

type I membranoproliferative glomerulonephritis

type I membranoproliferative glomerulonephritis

type I membranoproliferative glomerulonephritis

type I membranoproliferative glomerulonephritis

F,28y. | type I membranoproliferative glomerulonephritis

type I membranoproliferative glomerulonephritis

M,22y. | type II membranoproliferative glomerulonephritis

M,22y. | type II membranoproliferative glomerulonephritis

M,22y. | type II membranoproliferative glomerulonephritis

M,22y. | type II membranoproliferative glomerulonephritis

M,29y. | type II membranoproliferative glomerulonephritis (dense deposit disease)

M,29y. | type II membranoproliferative glomerulonephritis (dense deposit disease)

M,29y. | type II membranoproliferative glomerulonephritis (dense deposit disease)

M,53y. | type III membranoproliferative glomerulonephritis

M,53y. | type III membranoproliferative glomerulonephritis

M,53y. | type III membranoproliferative glomerulonephritis

M,53y. | type III membranoproliferative glomerulonephritis

M,53y. | type III membranoproliferative glomerulonephritis

M,13y. | type III membranoproliferative glomerulonephritis

type III membranoproliferative glomerulonephritis

F,28y. | type III membranoproliferative glomerulonephritis

F,28y. | type III membranoproliferative glomerulonephritis

F,40y. | type III membranoproliferative glomerulonephritis

F,16y. | type III membranoproliferative glomerulonephritis

F,16y. | type III membranoproliferative glomerulonephritis

M,7y. | type III membranoproliferative glomerulonephritis

F,16y. | type III membranoproliferative glomerulonephritis

M,20y. | IgA nephropathy (Berger disease)

F,47y. | IgA nephropathy (Berger disease)

M,21y. | IgA nephropathy (Berger disease)

M,21y. | IgA nephropathy (Berger disease)

M,21y. | IgA nephropathy (Berger disease)

M,21y. | IgA nephropathy (Berger disease)

F,47y. | IgA nephropathy (Berger disease)

F,15y. | IgA nephropathy … subendothelial deposits

F,15y. | IgA nephropathy … subendothelial deposits

M,9y. | IgA nephropathy

M,9y. | IgA nephropathy

F,19y. | IgA nephropathy

M,44y. | IgA nephropathy

F,29y. | IgA nephropathy (purpura Henoch-Schonlein)

M,47y. | IgA nephropathy

F,31y. | initial glomerular hyalinosis and sclerosis

F,31y. | initial glomerular hyalinosis and sclerosis

F,31y. | initial glomerular hyalinosis and sclerosis

F,52y. | diabetic glomerulopathy

M,69y. | advanced diabetic glomerulosclerosis- thickened basement membranes,fused pedicles

M,65y. | difuse diabetic glomerulosclerosis

M,29y. | developing glomerulosclerosis

M,49y. | advanced glomerulosclerosis

F,40y. | fibrillary glomerulopathy (amyloid negative)

F,40y. | fibrillary glomerulopathy (amyloid negative)

M,40y. | collapse of capillary loops

M,58y. | nephrotic syndrome: minimal changes - fusion of pedicles

F,70y. | nephrotic syndrome: minimal changes - fusion of pedicles

F,70y. | nephrotic syndrome: minimal changes - fusion of pedicles

F,69y. | urinary bladder - malakoplakia

F,69y. | urinary bladder - malakoplakia

F,69y. | urinary bladder - malakoplakia

F,69y. | urinary bladder - malakoplakia

F,69y. | urinary bladder - malakoplakia

M,62y. | urinary bladder - cystitis cystica

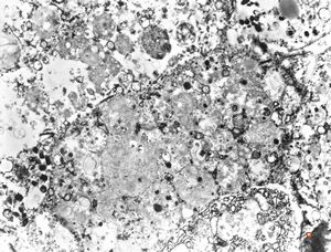
M,27y. | sea-blue histiocyte syndrome

M,27y. | sea-blue histiocyte syndrome

M,27y. | sea-blue histiocyte syndrome

M,27y. | sea-blue histiocyte syndrome

M,27y. | sea-blue histiocyte syndrome

M,27y. | sea-blue histiocyte syndrome

M,27y. | sea-blue histiocyte syndrome

M,2y. | nephroblastoma (Wilms tumor)

M,2y. | nephroblastoma (Wilms tumor)

M,2y. | nephroblastoma (Wilms tumor)

F,27y. | oncocytoma - kidney

M,62y. | urinary bladder - cystitis cystica
Download PDF with higher resolution
Contents
- Introduction
- 1. Cell and matrix pathology, unusual structures, artifacts
- 2. Infectious agents (viruses, bacteria, fungi, parasites)
- 3. Respiratory tract
- 4. Oral cavity, salivary glands
- 5. Gastrointestinal tract
- 6. Liver, gallbladder, pancreas
- 7. Cardiovascular system
- 8. Blood, bone marrow, spleen, lymphatic system
- 9. Urinary tract
- 10. Male reproductive system
- 11. Female reproductive system
- 12. Breast
- 13. Skin
- 14. Bone and joints
- 15. Soft tissues (connective tissue, muscles, peripheral nerves)
- 16. Endocrine system
- 17. Inborn metabolic disorders
- 18. Eye and ear
- 19. Central and peripheral nervous system
- 20. Atlas of Ultrastructural Neurocytology



