
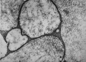
M, 1y. | glycogenosis type I. - liver

M, 1y. | gangliosidosis - liver

M, 1y. | gangliosidosis - liver

M, 1y. | gangliosidosis … bone marrow

M, 6m. | Niemann-Pick disease - liver

M, 6m. | Niemann-Pick disease - brain

M, 48y. | Fabry disease - myocardium

M, 48y. | Fabry disease - cornea

M, 10y. | Coffin-Lowry syndrome - skin

M, 10y. | Coffin-Lowry syndrome - skin

M, 10y. | Coffin-Lowry syndrome - skin

M, 10y. | Coffin-Lowry syndrome - skin

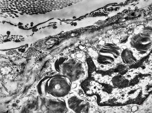
M, 6m. | Niemann-Pick disease - spleen

M, 6m. | Niemann-Pick disease - spleen

M, 6m. | Niemann-Pick disease - spleen

M, 6m. | Niemann-Pick disease - liver

M, 6m. | Niemann-Pick disease - brain

M, 8y. | ceroid-lipofuscinosis - brain

M, 8y. | ceroid-lipofuscinosis - brain

M, 8y. | ceroid-lipofuscinosis - brain

M, 44y. | Gaucher disease … spleen

M, 44y. | Gaucher disease … spleen

M, 44y. | Gaucher disease … liver

M, 44y. | Gaucher disease … liver

M, 44y. | Gaucher disease … liver

M, 17y. | Fabry disease - skin

M, 17y. | Fabry disease - skin

M, 17y. | Fabry disease - skin

M, 17y. | Fabry disease - skin

M, 17y. | Fabry disease - skin

M, 17y. | Fabry disease - skin

F, 8y. | metachromatic leukodystrophy … n. suralis

F, 8y. | metachromatic leukodystrophy … n. suralis

F, 25y. | metachromatic leukodystrophy … n. suralis

F, 25y. | metachromatic leukodystrophy … n. suralis

F, 25y. | metachromatic leukodystrophy … n. suralis

M, 2y. | globoid leukodystrophy (Krabbe disease) … n. suralis

M, 2y. | globoid leukodystrophy (Krabbe disease) … n. suralis

M, 2y. | globoid leukodystrophy (Krabbe disease) … n. suralis

M, 17y. | sea-blue histiocyte syndrome - kidney

M, 17y. | sea-blue histiocyte syndrome - kidney

M, 17y. | sea-blue histiocyte syndrome - kidney